Masson三色染色法
编辑Masson’s trichrome 是一种用于组织学的三色染色程序。 从 Claude L. Pierre Masson(1880-1959)的原始配方演变而来的配方具有不同的具体应用,但都适用于区分细胞与周围结缔组织。
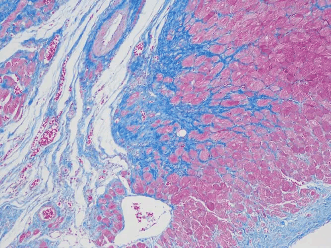
大多数配方会产生红色角蛋白和肌肉纤维、蓝色或绿色胶原蛋白和骨骼、浅红色或粉红色细胞质以及深棕色至黑色细胞核。
通过将固定样品浸入 Weigert’s 铁苏木精中来应用三色,然后浸入标记为 A、B 和 C 的三种不同溶液中:
- Weigert’s hematoxylin 是一系列三种溶液:稀盐酸中的氯化铁、95% 乙醇中的苏木精和硼酸钠碱化的铁氰化钾溶液。 它用于染色细胞核。
- A 溶液也称为血浆染色剂,含有酸性品红、二甲苯丽春红、冰醋酸和蒸馏水。 可以使用其他红色酸性染料,例如 Lillie 的三色中的 Biebrich 猩红色。
- 溶液 B 在蒸馏水中含有磷钼酸。
- 溶液 C,也称为纤维染色剂,含有浅绿色 SF 淡黄色,或固绿 FCF。 它用于染色胶原蛋白。 如果蓝色优于绿色,可以用甲基蓝或水蓝代替。
标准应用:Masson三色染色法广泛用于研究肌肉病变(肌营养不良)、心脏病(梗死)、肝病变(肝硬化)或肾病变(肾小球纤维化)。 它还可用于检测和分析肝脏和肾脏活组织检查中的肿瘤。

变体
编辑一个常见的变体是 Lillie 的三色。 它经常被错误地称为马松三色。 它在使用的染料、浓度和浸泡时间方面有所不同。
另一个常见的变体是 Masson 三色 & Verhoeff 染色,结合了 Masson 三色染色和 Verhoeff 染色。 这种组合可用于检查血管; Verhoeff 染色突出了弹性蛋白(黑色),可以轻松区分小动脉(通常至少有两个弹性层)和静脉(有一个弹性层)。
内容由匿名用户提供,本内容不代表vibaike.com立场,内容投诉举报请联系vibaike.com客服。如若转载,请注明出处:https://vibaike.com/206366/